-
为什么你需要放下棉签用于耳朵清洁
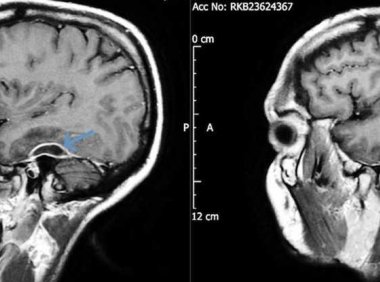
在一份新发表的病例报告中,医生详细描述了一名31岁的健康男子在昏倒后如何被救护车送往医院急诊室。 一到医院,他就癫痫发作,体格检查显示他神志不清,昏昏欲睡,神志不清。 后来,他透露,他已经有好几天感到头痛和恶心,在这段时间里,他很难记住别人的名字,更不祥的是,他承认在过去的五年里,他感到“间歇性的左耳疼痛和听力丧失”。 当医生对这名男子的头骨进行CT扫描时,他们发现他大脑周围的组织中有脓肿,他一只…... 启风
- 0
- 0
- 447
-
人工智能控制的机器人肢体,不需要编程就能自己走路
当孩子第一次在没有被要求的情况下做某事时,他们的父母通常会庆祝。南卡罗莱纳大学(USC)的研究人员正在经历这样的时刻。 该团队声称已经创造了第一个人工智能控制的机器人肢体,可以学习如何走路,而不需要明确的编程。 他们使用的算法是受现实生活中的生物学启发。就像刚出生不久就能走路的动物一样,这个机器人只需五分钟的无组织玩耍就能学会如何使用它的动物般的肌腱。 “从一开始,随着身体和环境的变化,一个物种学…... stella
- 0
- 0
- 568
-
这12个迹象表明我们正处于第六次物种大灭绝的中期
“大灭绝”一词通常会让人联想起导致恐龙灭绝的小行星撞击地球的画面。 撞击后,这块6英里宽的太空岩石在大西洋引发了海啸,同时还引发了地震和山体滑坡。 一股热脉冲炙烤着地球,霸王龙和它的同胞连同地球上75%的物种都灭绝了。 尽管不太明显,另一场毁灭性的大规模灭绝事件今天正在发生——这是地球历史上的第六次。 随着海洋变暖、森林砍伐和气候变化导致动物数量空前地减少,这一趋势正从多个方面对全球动物群造成冲击…... stella
- 0
- 0
- 404
-
“史蒂夫”和极光有什么不同?
如果你碰巧看到一条垂直的丝带在北半球的天空中舞动,闪烁着紫色的光,不要害怕。这是史蒂夫。 没错,史蒂夫。这个有趣的占位符名字来自阿尔伯塔极光追踪者,这是一群极光爱好者在2016年发现的大气现象。不同于你的标准极光显示器,它看起来像轻轻飘动的窗帘,史蒂夫更像是一个狭窄的光弧。 为了纪念2006年的动画电影《飞越树篱》,成员们决定用一个不寻常的名字来命名这个名字。在这部电影中,一些林地生物将一个未知的…... 水铃蓝
- 0
- 0
- 364
-
爱吃鸡蛋的朋友们,坏消息来了
鸡蛋会增加或减少健康的菜肴吗? 不久前,我们报道了一项新的研究,表明每天吃一个鸡蛋可以降低患2型糖尿病的风险。但遗憾的是,关于鸡蛋健康状况的“跷跷板”注定会再次倾斜。 据MedicalXpress.com网站报道,现在一项最新的研究表明,吃鸡蛋会增加患心血管疾病的风险,从本质上来说,这将重新引发人们对胆固醇摄入的恐惧。 研究报告的撰写者之一诺丽娜·艾伦说:“我们从中得到的信息其实是有关胆固醇的,而…... 启风
- 0
- 0
- 454
-
麻省理工学院的科学家认为,最近的三个冰河时代是由构造碰撞引发的
最新研究表明,最近的三个冰河时代可能是由地球各大陆之间的构造碰撞引发的,它可能会为我们提供线索,让我们知道未来地球的气候可能会如何突然再次发生变化。 新的研究表明,可能发生的情况是,这些巨大的碰撞将海洋岩石推到地表以上,进入炎热潮湿的热带环境,在那里它们开始从空气中吸收二氧化碳。如果有足够的时间,这些化学反应可以冷却全球温度,并开始冰河时代。 这一发现最初是基于对喜马拉雅山脉两处断裂带的分析,这两…... stella
- 0
- 0
- 427
-
一项新的研究表明,重力会影响我们做决定的方式
从国际空间站返回地球的加拿大宇航员克里斯·哈德菲尔德说,在高压环境下做出正确的决定至关重要。他说: 大多数时候,你只有一次尝试去做最重要的事情,而结果是生或死。 人类正在为一个新的太空时代做准备:载人火星任务不再是一个遥远的梦想,商业冒险可能为非宇航员访问其他星球开辟前景。理解重力如何影响我们做决定的方式从来没有像现在这样紧迫。 地球上所有的生物都是在恒定的引力场中进化而来的。这是因为重力总是存在…... stella
- 0
- 0
- 399
-
既然分红要除权,分红还有意义吗?
文 | 凌乐 近两天,华宝股份公告每10股分红40元,股息率接近10%,让市场侧目,并开始连续上涨。分红是股份公司在赢利中每年按股票份额的一定比例支付给投资者的红利,但是分红之后股价会除权。 比如股价10元,每股分红1元,第二天开盘之后股价就会变成9元,你的股票账户上会有1元的分红现金。很多朋友就会疑惑,这不是羊毛出在羊身上吗?自己账户中的钱左右手倒,分红还有价值吗? 事实上,各位都是站在投资者的…... 晓叶
- 0
- 0
- 644
-
大脑忘记过去比记住更难
如果说有一件事让大脑抓狂,那就是我们的记忆,这是叙事流中缺失的一部分。 记忆是一个沉重的负担。 无论是童年的创伤,还是将你的生活视角往最坏的方向改变的经历,过去都是一个可怕的负担。 但是,把行李留在身后,而不是拖着它度过一生,让它扭曲新的体验,并不是一件容易的事情。 事实上,在很多方面,我们的思想都在与我们作对。 《神经科学杂志》(Journal of Neuroscience)本周发表的一项研究…... stella
- 0
- 0
- 484
-
瀑布是如何形成这般迷人的现象的
瀑布是地球上最宏伟的景观之一:气势磅礴的水和物理的展示。但是这些层叠式的自然创作从何而来呢? 传统观点认为,瀑布是由外部力量形成的,比如地震、山体滑坡或海平面的变化,它们会极大地改变和破坏景观和河床。但事实证明,另一种内部驱动的力量可能也负有责任。 加州理工学院(Caltech)研究人员的一项新研究提出了一个激进的假设:瀑布是如何形成这些迷人的现象的。 研究人员说,瀑布的形成一直是个谜,其中一个原…... 水铃蓝
- 0
- 0
- 608
-
科学家们捕捉到了令人难以置信的细胞“弹射”人体组织的镜头
尽管我们的身体感觉很坚固,但体内的细胞并不总是静止在一个地方。科学家们现在发现细胞“弹射”自己,利用纤维组织的张力,以我们从未见过的五倍的速度向前跳跃。 尽管研究人员认为这种“弹弓式的迁移”可能在癌症在体内的传播中发挥作用,但它也可能被用来帮助我们将健康细胞送到最需要它们的身体部位。 为了捕捉传输中的快速细胞,科学家们建立了人造3D支架,模拟基质组织,这是一种围绕人体器官的结缔组织。这种组织可以帮…... 水铃蓝
- 0
- 0
- 665


























