-
为什么你需要放下棉签用于耳朵清洁
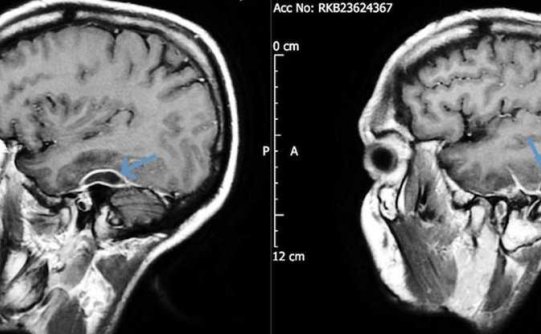
在一份新发表的病例报告中,医生详细描述了一名31岁的健康男子在昏倒后如何被救护车送往医院急诊室。 一到医院,他就癫痫发作,体格检查显示他神志不清,昏昏欲睡,神志不清。 后来,他透露,他已经有好几天感到头痛和恶心,在这段时间里,他很难记住别人的名字,更不祥的是,他承认在过去的五年里,他感到“间歇性的左耳疼痛和听力丧失”。 当医生对这名男子的头骨进行CT扫描时,他们发现他大脑周围的组织中有脓肿,他一只…- 447
- 0
棉签
❯
搜索
扫码打开当前页
返回顶部
幸运之星正在降临...
点击领取今天的签到奖励!
恭喜!您今天获得了{{mission.data.mission.credit}}积分
我的优惠劵
-
¥优惠劵使用时效:无法使用使用时效:
之前
使用时效:永久有效优惠劵ID:×
没有优惠劵可用!

